游戏百科

标签: 肺结节

为了一个6mm的小结节,切掉一大块肺?如果是这样的手术,我坚决不做!今年38岁的

为了一个6mm的小结节,切掉一大块肺?如果是这样的手术,我坚决不做!今年38岁的

门诊一位患者肺结节术后是肺浸润癌1A1期,肿瘤小于1cm,术后6年右肺下叶“新发

门诊一位患者肺结节术后是肺浸润癌1A1期,肿瘤小于1cm,术后6年右肺下叶“新发

门诊来了一位患者,自述做了肺结节手术已经70天了,术后病理分期为1A2期,属于早

门诊来了一位患者,自述做了肺结节手术已经70天了,术后病理分期为1A2期,属于早

肺结节到底叶切好还是段切好,最近医生热议的话题,病人也很茫然肺结节一般要切除一

肺结节到底叶切好还是段切好,最近医生热议的话题,病人也很茫然肺结节一般要切除一

肺结节康复必看,从《癌症的密码》讲吕医生“结节抗炎康复大法”

肺结节康复必看,从《癌症的密码》讲吕医生“结节抗炎康复大法”

文末福利:关注后回复“肺结节”,获取《肺结节患者康复大纲》+《肺结节良恶性检测指南》,有专业康复需求的朋友,可以私聊吕医生。(本文由吕医生肺结节多学科联合逆转团队审核,仅供学习交流,个体差异需专业医生就诊) 参考...
磨玻璃结节最可怕?其实如果同样是癌,实性结节恶性程度更高肺部结节大家都很害怕,

磨玻璃结节最可怕?其实如果同样是癌,实性结节恶性程度更高肺部结节大家都很害怕,

得了肺结节怎么办?先别慌,看看中美指南都怎么说!

得了肺结节怎么办?先别慌,看看中美指南都怎么说!

很多人一拿到 CT 报告,看到“肺结节”三个字,脑子里就只剩下两个字:完了。但真相是: 绝大多数肺结节是良性的 中美都有非常成熟的随访和处理指南 真正需要“立刻手术”的,只是少数 今天吕医生这篇文章,我想用医生+健康...
肺结节!4个“散结”小方法,坚持100天大家好,我是中医肺病科何延忠医生。中

肺结节!4个“散结”小方法,坚持100天大家好,我是中医肺病科何延忠医生。中

肺结节,一斤丝瓜络,可惜很多人不知道!在多年行医、经手无数肺结节患者的治疗

肺结节,一斤丝瓜络,可惜很多人不知道!在多年行医、经手无数肺结节患者的治疗

肺结节,老公有点焦虑了。老公今年公司体检报告出来了,有几个毛病,他最焦虑的就是

肺结节,老公有点焦虑了。老公今年公司体检报告出来了,有几个毛病,他最焦虑的就是

买了保险却用不上?同事的保险翻车记同事去年切了个肺结节,经检测是良性,他十

买了保险却用不上?同事的保险翻车记同事去年切了个肺结节,经检测是良性,他十

这位49岁的女患者,因为父母都曾患过癌症,所以一直很重视身体,每年坚持体检。就在

这位49岁的女患者,因为父母都曾患过癌症,所以一直很重视身体,每年坚持体检。就在

一位29岁的患者,已经做手术切了5个肺结节,左上肺还留着一个7mm肺磨玻璃结节,

一位29岁的患者,已经做手术切了5个肺结节,左上肺还留着一个7mm肺磨玻璃结节,

一位63岁的男性患者,7年前体检发现一个7mm的肺磨玻璃结节,这些年来他一直坚持

一位63岁的男性患者,7年前体检发现一个7mm的肺磨玻璃结节,这些年来他一直坚持

肺结节的4种恶性类型?如果肺CT不能判断结节性质,该怎样检测?如何康复?

肺结节的4种恶性类型?如果肺CT不能判断结节性质,该怎样检测?如何康复?

大家好,我是吕医生,专注肺结节的逆转与整体康复。在临床中,我发现很多患者把“肺结节”与“肺癌”直接等号,甚至过度焦虑。今天吕医生用最清晰、最客观的方式告诉你: 绝大多数肺结节是良性的 如果怀疑恶性,它其实是这“4...
总以为肺结节是抽烟喝酒闹的,其实真正的源头另有其“人”。很多研究发现,肺结节的头

总以为肺结节是抽烟喝酒闹的,其实真正的源头另有其“人”。很多研究发现,肺结节的头

肺结节在随访期间,会不会突然变大,甚至转移?体检发现肺结节,很多朋友第一反应就是

肺结节在随访期间,会不会突然变大,甚至转移?体检发现肺结节,很多朋友第一反应就是

门诊来了一位患者,体检发现肺里有个9mm的结节,从形态上看考虑可能还是恶性的,我

门诊来了一位患者,体检发现肺里有个9mm的结节,从形态上看考虑可能还是恶性的,我

这个上海的类风湿患者,患病十多年了,关节反复疼痛,特别是双膝关节和右肘,平时屈伸

这个上海的类风湿患者,患病十多年了,关节反复疼痛,特别是双膝关节和右肘,平时屈伸

门诊来了一对夫妻,先生50岁上下,坐在那儿一声不吭,脸色沉沉的。他太太站在身后,

门诊来了一对夫妻,先生50岁上下,坐在那儿一声不吭,脸色沉沉的。他太太站在身后,

肺结节这事儿越来越受关注了,很多人以为吸烟是最大元凶,实则不然。35岁的张先生在

肺结节这事儿越来越受关注了,很多人以为吸烟是最大元凶,实则不然。35岁的张先生在

《传承名方解读》国家级名老中医丛法滋专访:中医视角下的肺结节防治问题

《传承名方解读》国家级名老中医丛法滋专访:中医视角下的肺结节防治问题

应对肺结节,答案未必只有手术刀。本期《传承名方解读》,特邀国家级名老中医丛法滋教授,携六十余年临床经验,详解中医“破结”之道,并公开其临床验方的组方思路,为肺结节防治,提供另一种可能。本期热点速递 1、肺结节为...
最近我发现,很多朋友都问我:“肺结节能不能做消融?乔医生,你以前不是不主张消融吗

最近我发现,很多朋友都问我:“肺结节能不能做消融?乔医生,你以前不是不主张消融吗

健友股份:肺结节I类新药XTMAB预计明年一季度开启三期临床

肺结节I类新药XTMAB预计什么时间进入三期临床,三期临床预计的时间需要多久?该药未来的市场潜力如何?董秘回答(健友股份SH603707): 尊敬的投资者,您好,XTMAB项目临床二期已经结束,结果良好(您可查阅界面新闻发布的文章—...
一位年轻小伙,5年前体检发现1.4cm的结节,一直在定期复查,直到今年报告提示,

一位年轻小伙,5年前体检发现1.4cm的结节,一直在定期复查,直到今年报告提示,

肺结节术后是“微浸润癌”的案例。这位患者52岁,平时生活习惯挺好,也不抽烟,没什

肺结节术后是“微浸润癌”的案例。这位患者52岁,平时生活习惯挺好,也不抽烟,没什

很多体积较小或位置较深的肺结节,在手术前常需要进行“穿刺定位”!例如,只有几毫米

很多体积较小或位置较深的肺结节,在手术前常需要进行“穿刺定位”!例如,只有几毫米

冬天到了,对于有肺结节或肺癌的朋友来说,这个季节确实需要多留一份心。气温一降,空

冬天到了,对于有肺结节或肺癌的朋友来说,这个季节确实需要多留一份心。气温一降,空

CT报告一出来,魂儿先没了一半。磨玻璃结节、索条影、钙化灶……一堆看不懂的名

CT报告一出来,魂儿先没了一半。磨玻璃结节、索条影、钙化灶……一堆看不懂的名

最近门诊我发现很多病友,都在纠结一个问题,我觉得有必要澄清一下!有些朋友做了肺结

最近门诊我发现很多病友,都在纠结一个问题,我觉得有必要澄清一下!有些朋友做了肺结

这个小伙子25岁,为了肺上一个9mm的磨玻璃结节,前前后后跑来找了我三次,每次都

这个小伙子25岁,为了肺上一个9mm的磨玻璃结节,前前后后跑来找了我三次,每次都

这位68岁的阿姨来看诊的时候,连爬二楼都觉得吃力,她平时总觉得喘不上气、容易咳嗽

这位68岁的阿姨来看诊的时候,连爬二楼都觉得吃力,她平时总觉得喘不上气、容易咳嗽

我经常提到肺结节,尤其是小结节、磨玻璃结节,很多朋友会问:“切了就好了吗?到底什

我经常提到肺结节,尤其是小结节、磨玻璃结节,很多朋友会问:“切了就好了吗?到底什

查出肺结节,医生建议“继续观察”,会耽误病情吗?关于肺结节,我经常跟大家说一句话

查出肺结节,医生建议“继续观察”,会耽误病情吗?关于肺结节,我经常跟大家说一句话

看到CT报告上写着“肺结节伴钙化”,很多人心里都会“咯噔”一下,立马联想到肿瘤?

看到CT报告上写着“肺结节伴钙化”,很多人心里都会“咯噔”一下,立马联想到肿瘤?

我同学55岁,查出了肺癌icon晚期。他也不去医院治疗,选择在家保守治疗。他的

我同学55岁,查出了肺癌icon晚期。他也不去医院治疗,选择在家保守治疗。他的

43岁的男性患者,近两年一直断断续续咳嗽,但始终没找到原因。之前做过胸片检查,结

43岁的男性患者,近两年一直断断续续咳嗽,但始终没找到原因。之前做过胸片检查,结

肺结节成了许多人的“心病”,吃不下、睡不着,特别痛苦。在面对肺结节时,很多困惑其

肺结节成了许多人的“心病”,吃不下、睡不着,特别痛苦。在面对肺结节时,很多困惑其

门诊来了一位74岁的阿婆,是她儿子陪着来的,看起来精神不太好,脸上挂满了忧虑。她

门诊来了一位74岁的阿婆,是她儿子陪着来的,看起来精神不太好,脸上挂满了忧虑。她

这位肺结节患者是幸运的,但她的做法我并不认同!一位50岁左右的女士,发现一个8m

这位肺结节患者是幸运的,但她的做法我并不认同!一位50岁左右的女士,发现一个8m

65岁的患者体检发现双肺都有结节,左肺近1cm的磨玻璃结节,当地医生说考虑是早期

65岁的患者体检发现双肺都有结节,左肺近1cm的磨玻璃结节,当地医生说考虑是早期

从肺原位癌发展到浸润癌,生存率明显下降!这位患者5年前体检时,发现右上肺有一个磨

从肺原位癌发展到浸润癌,生存率明显下降!这位患者5年前体检时,发现右上肺有一个磨

很多朋友在体检发现肺磨玻璃结节后,即使经过长期随访观察,结节大小和形态也未见明显

很多朋友在体检发现肺磨玻璃结节后,即使经过长期随访观察,结节大小和形态也未见明显

“医生,我的肺结节是不是转移了?”一大早刚开诊,一位患者就急匆匆地找到我。她今年

“医生,我的肺结节是不是转移了?”一大早刚开诊,一位患者就急匆匆地找到我。她今年

一个散掉肺结节的千古名方御痧阁中医视角下肺结节的形成逻辑肺结节,就是肺里面长

一个散掉肺结节的千古名方御痧阁中医视角下肺结节的形成逻辑肺结节,就是肺里面长

恶性结节药物消不掉可以理解,为什么大部分良性结节也消不掉用药消掉肺部结节是一个

恶性结节药物消不掉可以理解,为什么大部分良性结节也消不掉用药消掉肺部结节是一个

总有人拿着报告单,眼睛都红了,就问一句话:有没有什么神药,能把这肺结节给“化”了

总有人拿着报告单,眼睛都红了,就问一句话:有没有什么神药,能把这肺结节给“化”了

我有个朋友今年67岁,去年9月体检,肺部有块影印,确诊不了,吓得赶紧的到肿瘤医院

我有个朋友今年67岁,去年9月体检,肺部有块影印,确诊不了,吓得赶紧的到肿瘤医院

复查心凉了!39岁肺结节术后,后悔没锻炼致结果不理想😱39岁做肺结节手术,术

复查心凉了!39岁肺结节术后,后悔没锻炼致结果不理想😱39岁做肺结节手术,术

单位体检肺结节查出半公司人!同事肺癌晚期直接吓懵全楼,一查片子多半员工中标,五

单位体检肺结节查出半公司人!同事肺癌晚期直接吓懵全楼,一查片子多半员工中标,五

后悔死了,干嘛要去做体检!前几天朋友去体检,去医院做了个体检,查一下身体,竟然

后悔死了,干嘛要去做体检!前几天朋友去体检,去医院做了个体检,查一下身体,竟然

同事查出肺癌晚期,全公司体检慌了:一半人有肺结节,医生却让别紧张?上周公司

同事查出肺癌晚期,全公司体检慌了:一半人有肺结节,医生却让别紧张?上周公司

一个同事突然查出来肺癌,还是晚期,吓得一个公司几十口子人都去查。这不查还好,一查

一个同事突然查出来肺癌,还是晚期,吓得一个公司几十口子人都去查。这不查还好,一查

这个案例很有参考价值!一位63岁的患者,因为胸口发闷来过两次门诊。我给他做了胸部

这个案例很有参考价值!一位63岁的患者,因为胸口发闷来过两次门诊。我给他做了胸部

换了药后,肺结节就消失了!44岁的男性,在今年4月底查出肺部有个部分实性结节,吃

换了药后,肺结节就消失了!44岁的男性,在今年4月底查出肺部有个部分实性结节,吃

今天单位体检结果一出来,我跟同事一聊直接懵了——十个人里九个都有结节!不是肺上长

今天单位体检结果一出来,我跟同事一聊直接懵了——十个人里九个都有结节!不是肺上长

这次无锡体检,我们单位20人,其中16人,肺部有结节。第三天,去拿体检报告时

这次无锡体检,我们单位20人,其中16人,肺部有结节。第三天,去拿体检报告时

“医生,我家里还有孩子要照顾,最大的才八岁……”诊室里,一位36岁的女性患者,红

“医生,我家里还有孩子要照顾,最大的才八岁……”诊室里,一位36岁的女性患者,红

朋友们!别一看到“肺结节”几个字就紧张!其实在检查中发现肺结节非常普遍,绝大多数

朋友们!别一看到“肺结节”几个字就紧张!其实在检查中发现肺结节非常普遍,绝大多数

发现肺里有磨玻璃结节,医生说考虑恶性,接下来却跟你说“不用太担心”?这听起来是不

发现肺里有磨玻璃结节,医生说考虑恶性,接下来却跟你说“不用太担心”?这听起来是不

“看哭了。”辽宁,一男子带着咳嗽老不好的妈妈去医院看病,结果查出来肺里有个小结节

“看哭了。”辽宁,一男子带着咳嗽老不好的妈妈去医院看病,结果查出来肺里有个小结节

查出肺结节,甚至是早期肺癌,若换个角度看,或许正是生命给予我们的一次重要提醒,甚

查出肺结节,甚至是早期肺癌,若换个角度看,或许正是生命给予我们的一次重要提醒,甚

今天门诊来了一位年轻肺结节患者,主动希望我能为他安排手术。但我最终没有同意他的请

今天门诊来了一位年轻肺结节患者,主动希望我能为他安排手术。但我最终没有同意他的请

什么样的腰痛要及时就医世界脊柱日全民疼痛疾病攻略【肺结节要少吃高盐分和刺激性食

什么样的腰痛要及时就医世界脊柱日全民疼痛疾病攻略【肺结节要少吃高盐分和刺激性食

CT越来越先进了,今后的CT检查不仅能清晰看到2mm以下的肺结节以及人体肺部最小

CT越来越先进了,今后的CT检查不仅能清晰看到2mm以下的肺结节以及人体肺部最小

这件事我强调过很多次:肺结节长得越多,反而越要谨慎,不能轻易“一刀切”。之前

这件事我强调过很多次:肺结节长得越多,反而越要谨慎,不能轻易“一刀切”。之前

最近老有患者朋友拿着PET-CT的报告来找我,一问连基础的薄层CT都没做,直接上

最近老有患者朋友拿着PET-CT的报告来找我,一问连基础的薄层CT都没做,直接上

现在未成年儿童肺部结节发病案例越来越多,真让人担忧。像宁波9岁女孩茜茜,偶然胸部

现在未成年儿童肺部结节发病案例越来越多,真让人担忧。像宁波9岁女孩茜茜,偶然胸部

早期肺癌患者术后,如何复查和随访?总结我多年临床经验,统一回答下大家!1、术后

早期肺癌患者术后,如何复查和随访?总结我多年临床经验,统一回答下大家!1、术后

早期肺癌术后才1个月,就出现扩散了?前几天,一位朋友火急火燎地打电话给我:“完了

早期肺癌术后才1个月,就出现扩散了?前几天,一位朋友火急火燎地打电话给我:“完了

查出肺结节了?别慌!

查出肺结节了?别慌!

在体检报告中看到“肺结节”三个字,很多人会瞬间心跳加速,甚至将其与“肺癌”直接划等号,陷入焦虑与恐慌。但事实上,肺结节≠肺癌,大部分肺结节都是良性的,盲目担忧反而可能影响身心健康。简单来说,肺结节就像肺部皮肤上...
中国太牛了,造出全球首台相控阵CT,远超欧美!这台在上海落成的CT,成像清晰

中国太牛了,造出全球首台相控阵CT,远超欧美!这台在上海落成的CT,成像清晰

早期肺癌拖成晚期!只因为一个“怕”字......国庆节后的第一个门诊,看了90多

早期肺癌拖成晚期!只因为一个“怕”字......国庆节后的第一个门诊,看了90多

发现看似炎性的结节怎么办?如果在体检中偶然发现肺结节且有炎性可能且结节...

发现看似炎性的结节怎么办?如果在体检中偶然发现肺结节且有炎性可能且结节...

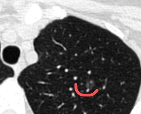
3mm肺结节竟然也有“浸润”成分?!一位40多岁的女士刚做完肺结节手术,反而比手

3mm肺结节竟然也有“浸润”成分?!一位40多岁的女士刚做完肺结节手术,反而比手

肺结节真没必要急着手术!56岁的老陈最近总有点咳嗽、胸闷,就去医院查了查。结果C

肺结节真没必要急着手术!56岁的老陈最近总有点咳嗽、胸闷,就去医院查了查。结果C

有病人问我:“医生,我肺上这个结节当初说是磨玻璃的,不是说这类结节发展很慢、不太

有病人问我:“医生,我肺上这个结节当初说是磨玻璃的,不是说这类结节发展很慢、不太

肺结节长到大血管上,两个月不做手术就很危险?我在门诊遇到的一位焦虑万分的患者,体

肺结节长到大血管上,两个月不做手术就很危险?我在门诊遇到的一位焦虑万分的患者,体

查出肺结节,甚至确诊肺癌之后,很多朋友在吃的方面,就变得特别小心。杨先生就是这样

查出肺结节,甚至确诊肺癌之后,很多朋友在吃的方面,就变得特别小心。杨先生就是这样

肺结节有毛刺、分叶就是恶性?肺结节是指肺里面,长出的直径小于3cm的圆形或类圆形

肺结节有毛刺、分叶就是恶性?肺结节是指肺里面,长出的直径小于3cm的圆形或类圆形

肺结节≠肺癌!95%以上是良性的,但4类人群需注意,及时就医筛查

肺结节≠肺癌!95%以上是良性的,但4类人群需注意,及时就医筛查

同事体检发现肺结节,现在天天在群里问这问那. 随着体检普及率上升,越来越多的普通人发现自己的肺部CT报告上写着"肺结节"三个字,瞬间从"健康人"变成"潜在患者",焦虑指数直线上升。我要告诉你一个让95%的人都松一口气的真相...
肺结节早期症状!

肺结节早期症状!

肺结节手术之后,对身体会有什么影响?很多患者术后,可能会感觉有些“不够气”,比如

肺结节手术之后,对身体会有什么影响?很多患者术后,可能会感觉有些“不够气”,比如

去做CT检查,怎样能少“吃”射线?很多需要定期复查肺结节的朋友,一提到CT,心里

去做CT检查,怎样能少“吃”射线?很多需要定期复查肺结节的朋友,一提到CT,心里

少走弯路,少受罪!关于肺结节和肺癌,我整理了大家最关心的7个问题,从病因、诊断到

少走弯路,少受罪!关于肺结节和肺癌,我整理了大家最关心的7个问题,从病因、诊断到

肺结节只要大于8mm,不管良恶性,都建议做手术?肺结节要不要手术,不能只看大小!

肺结节只要大于8mm,不管良恶性,都建议做手术?肺结节要不要手术,不能只看大小!

在临床中,不管是乳腺结节、肺结节还是甲状腺结节患者,最常问的就是:“医生,我到底

在临床中,不管是乳腺结节、肺结节还是甲状腺结节患者,最常问的就是:“医生,我到底

体检完第二天,电话就追过来了。说我那个肺结节,长大了,挺危险,赶紧去医院。去

体检完第二天,电话就追过来了。说我那个肺结节,长大了,挺危险,赶紧去医院。去

很多查出肺结节、或者确诊肺癌的朋友,在吃的方面特别紧张,总怕“吃错了”加重病情。

很多查出肺结节、或者确诊肺癌的朋友,在吃的方面特别紧张,总怕“吃错了”加重病情。

关于肺结节复查,记住这5点,复查不走弯路!1、肺结节复查,建议做“高分辨率薄层C

关于肺结节复查,记住这5点,复查不走弯路!1、肺结节复查,建议做“高分辨率薄层C

现在的人都戒烟戒酒是为了什么?现在的人戒烟戒酒,真不是因为舍不得那点钱前

现在的人都戒烟戒酒是为了什么?现在的人戒烟戒酒,真不是因为舍不得那点钱前

发现肺结节之后特别焦虑,尤其是报告上写的“实性结节”、“磨玻璃结节”、“纯磨玻璃

发现肺结节之后特别焦虑,尤其是报告上写的“实性结节”、“磨玻璃结节”、“纯磨玻璃

秋气通于肺,一碗补肺汤,补肺气,肺结节可以多喝“秋气通于肺”,秋天产生的燥气最容

秋气通于肺,一碗补肺汤,补肺气,肺结节可以多喝“秋气通于肺”,秋天产生的燥气最容

发现肺结节,听到医生会说“可以继续随访”第一反应还挺开心的,但紧接着心里就忍不住

发现肺结节,听到医生会说“可以继续随访”第一反应还挺开心的,但紧接着心里就忍不住

肺结节切除后,对身体有没有影响?这个取决于3方面:肺结节是良性还是恶性?手术切除

肺结节切除后,对身体有没有影响?这个取决于3方面:肺结节是良性还是恶性?手术切除

门诊很多朋友,已经做完了肺结节或肺癌手术,特地来找我一遍,就想问“医生有没有给我

门诊很多朋友,已经做完了肺结节或肺癌手术,特地来找我一遍,就想问“医生有没有给我

查出肺结节,术后病理是原位癌、微浸润或者浸润癌,但还是担心会不会复发。这种情况,

查出肺结节,术后病理是原位癌、微浸润或者浸润癌,但还是担心会不会复发。这种情况,

肺结节直径小,磨玻璃为什么也有发展到浸润的,恶性程度不容忽视一般认为肺部结节直

肺结节直径小,磨玻璃为什么也有发展到浸润的,恶性程度不容忽视一般认为肺部结节直

很多朋友查出肺部有多发结节后,最担心的就是:就算这次做手术切掉了,以后会不会又长

很多朋友查出肺部有多发结节后,最担心的就是:就算这次做手术切掉了,以后会不会又长

“我的肺结节,到底要不要做手术?”门诊来了一位50多岁的女性患者,肺上发现2cm

“我的肺结节,到底要不要做手术?”门诊来了一位50多岁的女性患者,肺上发现2cm