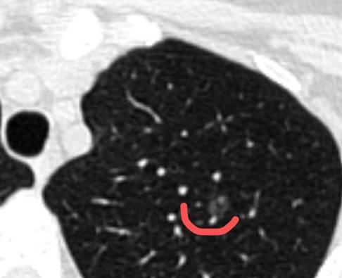
为了一个6mm的小结节,切掉一大块肺?如果是这样的手术,我坚决不做!今年38岁的吴女士体检发现了肺磨玻璃结节,虽然随访了一年都没变化,但问了好几位医生,大多提醒她:“结节中间有空腔,有一定风险,可能是肿瘤特征,建议手术切除肺叶。” 这句话让她陷入了长期的焦虑。那段时间,她吃不下、睡不好,连孩子都顾不上管,甚至出现了胸背痛、气促的症状,整天担心自己是不是晚期了、结节是不是要转移了。 后来她找到我,态度非常坚决:一定要手术,不管切多少肺都愿意做。 但我仔细看了她的片子,结节位置比较深,如果按常规做法切掉整个肺叶,对肺功能的影响不小。 所以我一开始还是建议她继续观察——毕竟结节没变化,通常意味着风险很低。 可她和家人反复联系我,几次来门诊,都坚持要做手术。我理解她的心情,这种“身体里有个东西”的感觉,确实像心里扎了根刺。 于是我跟她商量:不如我们做个三维重建,仔细看看结节的位置和血管走向,说不定能设计一个既切得干净、又不用切那么多肺的手术? 毕竟生命不只有长度,生活质量也很重要...... 三维结果出来之后,我发现可以做“亚段切除”——也就是只切除肺段的一小部分,范围非常精准,创伤也小得多。 术后病理结果是“不典型腺瘤增生”还是属于癌前状态。它有可能随着时间慢慢变化,甚至发展成原位癌或早期腺癌,但这个过程非常缓慢,通过定期随访完全可以安全监控。即便有变化再处理,也完全来得及。 而吴女士之前那些胸痛、气短的症状,其实更多是焦虑引起的身体反应。手术后她恢复得很好,查房时她跟我说:“医生,我现在安心了,心里的‘定时炸弹’终于拆掉了。” 通过这个案例,我也想和大家分享两点: 1、对于这种小的磨玻璃结节,定期随访是非常安全的,不必过度紧张; 2、如果实在焦虑到影响生活,可以考虑做创伤小的精准手术,但为了一个小结节去切掉整个肺叶,我个人认为还是要慎重。[玫瑰][作揖]胸外科乔贵宾医生肺结节[超话]


评论列表