游戏百科
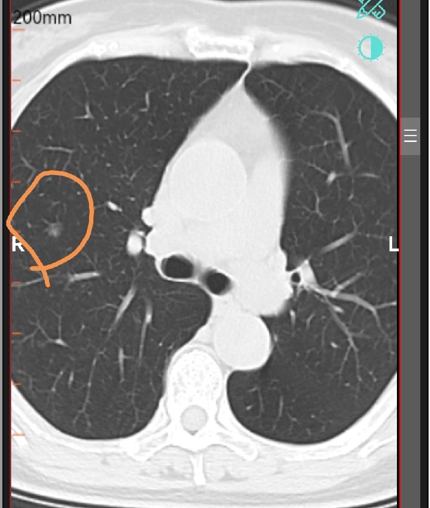
肺结节报告3个关键指标!你都知道吗?
2025-11-22 17:49:28
李李李清波
健康
肺结节报告3个关键指标!你都知道吗?
猜你喜欢
肺结节切了又长,什么时候才能结束?这是一位55岁患者的真实经历。三年前,她因为右
2025-12-17
乔贵
标签:
肺结节
今天做这台肺结节手术,说实话我心里也一直悬着!患者四十多岁,去年就查出来右上肺有
2025-12-17
乔贵
标签:
肺结节
消炎药
淋巴结
我今天刷到一个外科医生,一句话把我给问住了。他说,肺结节5%的癌变可能,要去赌
2025-11-27
为天下痴狂
标签:
医生
肺结节
“肺结节考虑是原位癌或者微浸润癌,可不可以做消融?我就是害怕开刀!”门诊经常会遇
2025-12-18
乔贵
标签:
肺结节
肿瘤
肺部结节长到多大才是恶性,才需要做手术呢?其实这不是一个很正确的认知,肺部结节到
2025-12-18
才良看社会
标签:
肺部肿瘤
肿瘤
在临床工作中,我经常遇到一些患者,我告诉他们肺结节发生变化、需要处理了,但很多朋
2025-12-15
乔贵
标签:
肺结节
每次出门诊,都有朋友担心地问我:“查出肺结节,是不是海鲜就一点都不能碰了?听说会
2025-11-27
乔贵
标签:
肺结节
医生
海鲜
给大家提个醒,尤其是查出肺结节的朋友。今天接了个电话,一位40岁的女性朋友很着急
2025-12-11
乔贵
标签:
肿瘤
肺结节
热门分类
游戏下载
推荐
热榜
军事
NBA
体育
社会
明星八卦
娱乐
财经
科技
汽车
历史
国际
游戏
动漫
公益
搞笑
商业
互联网
数码
国际足球
房产
家居
时尚
科学探索
职场
育儿
股票
教育
影视
情感
热点
中国军情
武器
中国南海
中国足球
亚洲杯
科比
综合体育
CBA
投资
楼市
大咖秀
外汇
创业
风口
SUV
豪车
概念车
优惠
新能源
美国
欧洲
朝日韩
俄罗斯
孕期
街拍
恋爱攻略
婚姻
正能量