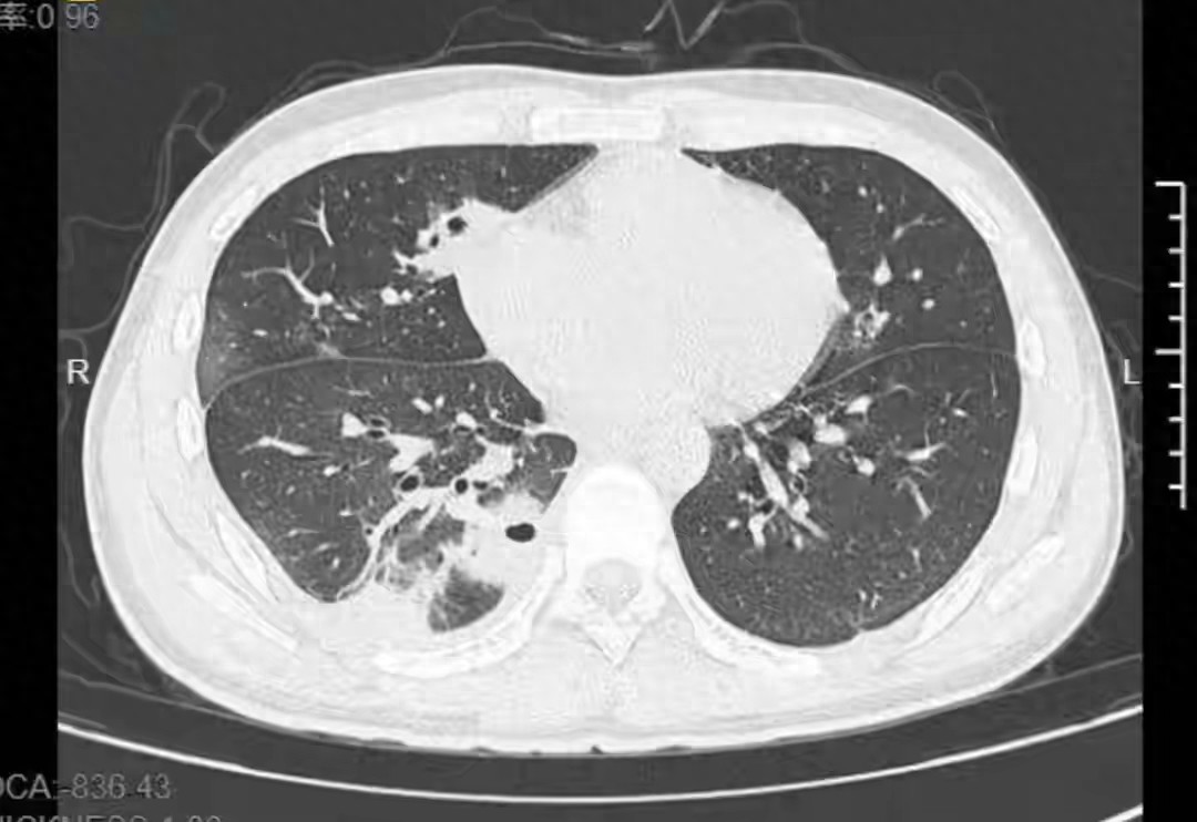
近日,浙江宁波。20岁大学生小林备考熬夜后,面部出现一颗红肿的痘痘,没洗手便直接挤压。几天后,痘痘未见好转,反而出现发烧、咳嗽、咳痰及右下胸针刺样疼痛症状。CT检查后发现,小林的肺部竟然出现了十多个空洞,肺组织部分坏死,被确诊为血源性肺脓肿,经过12天的抗生素治疗,才康复出院。

这不是一个普通的青春痘故事,也不是一场简单的身体反应,而是一面镜子,折射出我们每个人在生活中那些被忽视的细节和潜藏的危机。
你是否曾在深夜的灯光下,为了那一场考试、那份梦想,熬过无数个不眠之夜?你是否也曾在疲惫不堪时,忽略了身体的微妙信号,只顾拼命向前?小林的故事,就是最真实的写照。一个年轻的生命,因一颗小小的痘痘,差点付出生命的代价。

这个故事提醒我们:健康从来不是理所当然的。它像一座看不见的城墙,随时可能被忽视的细节攻破。挤压一个痘痘,也许只是一时的疏忽,却可能引发严重的后果——肺部空洞、坏死,甚至危及生命。我们常常以为,身体的信号不过是小事一桩,直到真正的危机出现。
更令人深思的是,年轻的我们,是否太过自信,觉得自己“年轻就不会出事”?其实,健康没有年龄的界限。那颗红肿的痘痘,是身体在发出警告,提醒我们:别让忽视成为灾难的导火索。我们习惯了快节奏的生活,习惯了对压力的忍耐,却忘了最基础的自我呵护。

这个故事还折射出一个更深层次的问题——现代社会的“快节奏”与“忽视”。我们追求效率,却很少停下来问问自己:身体的声音是不是在呼唤我们?压力山大的背后,是不是早已埋下了健康的隐患?每一个看似微不足道的小细节,都可能是生命的转折点。
或许,你我都曾在某个瞬间忽略了身体的信号。也许,你正站在类似的十字路口:是继续拼命,还是学会倾听自己?这不是一句空洞的“健康第一”,而是每个人都必须面对的现实。因为,只有真正关心自己,才能有力量去追逐梦想。

让我们从今天开始,重新审视那颗红肿的痘痘,听一听身体的声音。不要让忽视成为最后的遗憾。毕竟,生命只有一次,健康才是我们最宝贵的财富。每个人都值得拥有一个无惧风雨、充满活力的未来。你准备好了吗?

你知道吗?这不仅仅是一个关于青春期痘痘的小插曲,更是一堂关于生命的深刻课。我们常常觉得,年轻就意味着无敌,疾病离我们很远。但现实告诉我们:身体的每一个信号都值得我们用心倾听。
小林的故事,或许在很多人眼里,只是个意外,但它背后隐藏的风险,却在提醒我们:健康的“隐形危机”正潜伏在生活的每一个角落。那颗红肿的痘痘,或许只是一个微不足道的小问题,但挤压它的瞬间,却打开了一扇通往“未知”的大门——肺部空洞、坏死、甚至生命垂危。
这让我想起,多少人习惯性忽略身体的微妙变化。压力、熬夜、忽视卫生,似乎都变成了“正常”的生活方式。可是,你知道吗?健康的底线,就是那些看似微不足道的细节。如果我们不尊重身体的信号,最终可能付出无法估量的代价。

更令人心碎的是,这样的悲剧并不罕见。每年,都有无数像小林一样的年轻人,因为一时的疏忽,陷入无法挽回的危机。有人说,年轻就是资本,可是,生命的脆弱,远比我们想象的要坚硬得多。我们以为自己可以“扛得住”,但实际上,身体的抗争,往往比我们想象的要脆弱。
这不禁让人反思:我们是不是太过忙碌、太过自信,以至于忽略了最基本的生命需求?是不是在追逐梦想的同时,忘了最重要的——照顾自己?其实,健康才是我们实现一切的基础,没有它,一切都无从谈起。

所以,朋友们,别再等到“事不关己”变成“天塌下来”的时候才醒悟。每一次身体的微妙变化,都是在告诉我们:请你放慢脚步,关注自己。别让一颗小痘痘,变成一场生命的劫难。
未来的路还很长,健康才是我们最坚实的底牌。你愿意用生命中的每一份努力,去守护那份属于自己的安稳与幸福吗?答案,或许就在你的一念之间。#20岁男生脸上挤痘痘挤进ICU,挤了1颗痘痘肺被啃出10多个洞洞#